What is the Ambra for Box integration?
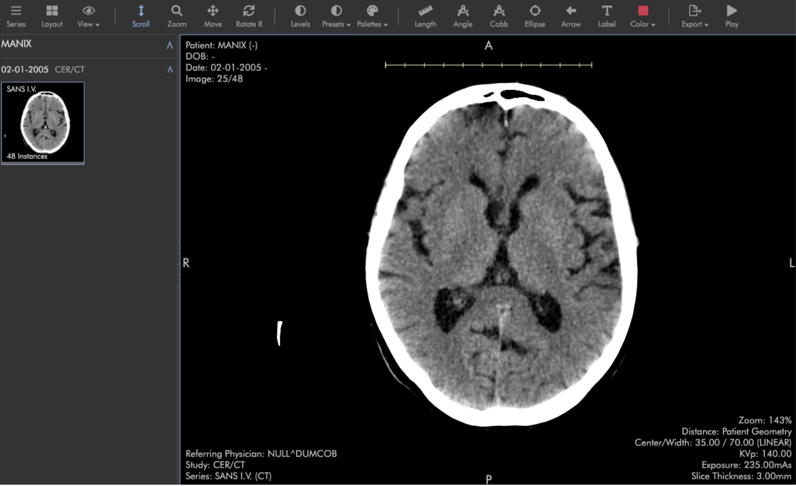
Ambra Health is a medical data and image management cloud software company that offers a best-of-breed web-based DICOM viewer. Accessible through any web browser, the Ambra DICOM ProViewer enables access and collaboration on DICOM images from anywhere on any device.
With Ambra for Box, you can:
-
Immediately create, open and view DICOM studies, including legacy boxdicom studies.
-
Collaborate on imaging studies by annotating, measuring, comparing images, and more.
-
Take advantage of simple-to-use viewing and 3-D manipulation tools.
How to open an existing Box DICOM study
From the folder of an existing Box DICOM study, right-click on the *.boxdicom file and select Integrations > View DICOM files

This opens the study in Ambra ProViewer in a new browser tab.
How to upload a new study
The DICOM uploader is available directly from any folder and can be accessed from the Integrations > Upload DICOM files prompt in the folder menu with one click.

To upload DICOM files into Box, simply drag and drop them into the uploader. Alternatively, you can also select files by browsing for them.

How to open an Ambra DICOM study
The flow is similar to opening a legacy Box DICOM study: in the study folder, locate the *.ambradicom file, right click on it to show the contextual menu and select Integrations > View DICOM files
